Mi Experiencia
Toda mi vida he estado buscando una solución a mi problema, y hasta ahora siempre me decían que era imposible. Una amiga de mi madre me sugirió que viniera a hablar con la Dra. Fuster. Desde el primer momento me he sentido fenomenal y ha conseguido realizar el cambio radical que yo quería. Ni más ni menos, ahora puedo sonreir!!
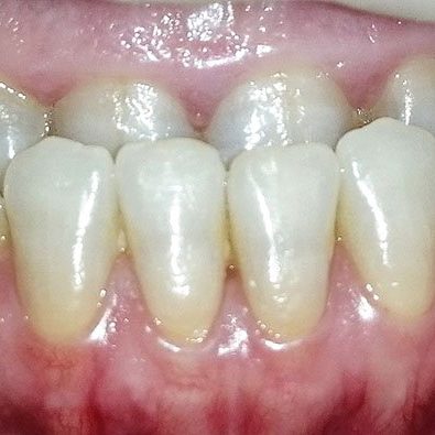
El Tratamiento
Ana me contó que llevaba preguntando por una solución desde siempre, cuándo le dije «se puede y lo vamos a hacer» su cara cambió de expresión. Desde ese momento ha sido una paciente entregada e ilusionada. El caso en sí ha sido un reto, rehabilitar buscando la estética deseada y paralelamente garantizar la funcionalidad correcta es un trabajo que requiere un gran análisis. Gracias al trabajo en equipo hemos conseguido el resultado esperado.Los incisivos necesitaron ser desvitalizados para poder realizar sobre ellos unas espigas muñones que nos pusieran los «nuevos dientes» dónde necesitábamos. El laboratorio elaboró las espigas de manera precisa para asegurar un correcto ajuste. Después quedaba confeccionar las coronas de porcelana, elegimos zirconio por ser una porcelana que combina estética y resistencia. Rehabilitamos el sector posterior con prótesis removibles para asegurar la función correcta de la masticación.
- Endodoncias en sector anterior. Realizadas por la Dra. Sanvito
- Pernos muñones colados en sector anterior. Realizadas por la Dra. Ferrandis.
- Coronas de Zirconio alta estética. Realizado por la Dra. Fuster.
- Rehabilitación posterior con prótesis parcial removible. Realizado por la Dra. Fuster.
















