Mi Experiencia
Conocí la Clínica Dental de la Doctora Susana Fuster por internet, estaba buscando un buen doctor para rehabilitar completamente mi boca. Revisé sus casos y las opiniones que tenía y eso me invitó a visitarla. Además, vivo cerca de la clínica.
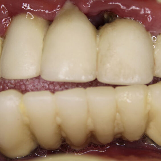
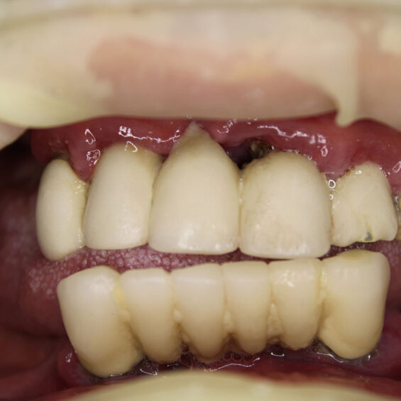
Decidí acudir ya que no aguantaba el dolor que tenía, no podía comer y me afectaba en el día a día. Cuando Susana me exploró, inmediatamente supo lo que necesitaba. Los dientes que me quedaban no podían aguantar más tratamientos Planificó la extracción de todos ellos y el tratamiento de All On Four superior y 6 implantes mandibulares . Con colocación inmediata de dientes el mismo día que me los extrajo y colocó los implantes. Entrar y salir con dientes.
Durante el tiempo del tratamiento me he sentido como en casa, a pesar del miedo que tenía la primera vez que acudí, me han ayudado a superarlo, incluso nos hemos reído, cosa que nunca pensé que fuera a hacer en una consulta dental.
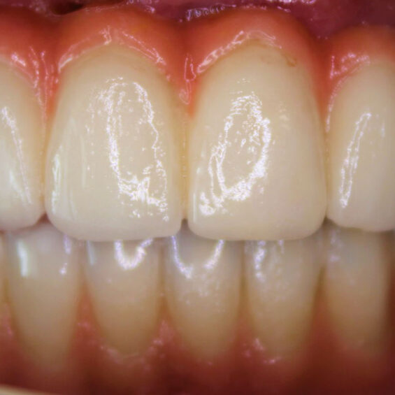
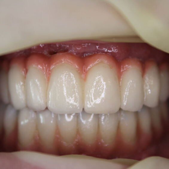
Me ha cambiado la vida, estoy de maravilla. Ahora me paso el día enseñando los dientes, todos los problemas que tenía antes ya no los tengo y estoy muy contento.
¡¡¡Puedo comer lo que quiero!!!
El Tratamiento
Valentín ha sido en todo momento un paciente comprensivo y colaborador. Su cirugía requirió una planificación muy precisa, pues se trataba de implantes postextracción y carga inmediata. Finalmente, una rehabilitación fija sobre implantes con todos los criterios que exigía.
- Implantes dentales
- All on four
- All on six
- Rehabilitación completa sobre implantes


















