Tratamiento de porcelana en un incisivo lateral
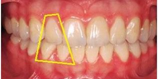
Caso: incisivo lateral derecho con tinción grisacea.
Tratamiento realizado: Carilla a vuelta pasada de porcelana.
La paciente acudió por un problema estético en un incisivo lateral derecho, más “oscuro” que los demás.
Tras tomar fotos prepoperatorias y modelos de estudio. Se realiza una carilla a vuelta pasada provisional y se prepara la superficie del diente para tomar un registro de silicona que se manda al laboratorio. Es muy importante tener en cuenta la forma de sus otros dientes naturales, el color de los mismos y el color del diente en concreto. Que, aunque será cubierto por una carilla de porcelana, se podrá vislumbrar, pues no vamos a utilizar metal en ningún caso.
La carilla se realiza sin metal para poder evitar tinciones posteriores en la encía, “tatuajes” rodeando el diente con un tono gris, muy antiestéticos. Además dejará transparencia en el diente, lo cual hará que sea mucho más natural en un día con mucha luz.
En una primera sesión probamos la estructura de la carilla con el color elegido para poder comprobar el tono adecuado del diente. En Dentalmax, lo más importante de esta sesión, es la opinión del paciente en cuánto a la estética, el paciente verá el trabajo antes de su terminación para poder realizar cuántos cambios y modificaciones sean oportunos.
Una vez terminada la carilla se cementa de forma definitiva sobre el diente preparado.





